Looking inside
Personatges:
Tema: Nervous system
Competències
Competència Matemàtica, en ciència, tecnologia i enginyeria
Competència personal, social i aprendre a aprendre
Competència Ciutadana
Matèries i cursos per Sistema Educatiu
Espanya > Biologia i Geologia > 1r ESO > El cos humà
Espanya > Biologia i Geologia > 3r ESO > El cos humà
Enunciat
Both Computerized Axial Tomography (CAT) and Magnetic Resonance Imaging (MRI) are non-invasive techniques (nothing needs to be introduced into the patient's body) that allow us to see our insides from the outside.
CT uses X-rays and magnetic waves, and in both cases computers are used to interpret the information obtained and create a visible image that healthcare personnel can interpret to diagnose different diseases. They are also very useful techniques for anatomical studies, not only of human beings, but also of other living beings, and even of objects without damaging them, in other fields of knowledge such as archeology.
Ruzena Bajcsy is a Czech computer scientist (naturalized U.S. citizen) who has developed the techniques necessary for the computer creation of these images and is especially important in the study of the parts of the brain. She participated in the elaboration of a very complete atlas of this organ, which opened the door to other advances thanks to the knowledge generated.
The images obtained by these two techniques are very similar, although those obtained by MRI are of higher resolution than those obtained by CT, depending on the use to be made of them, one or the other technique is chosen.
Questions:
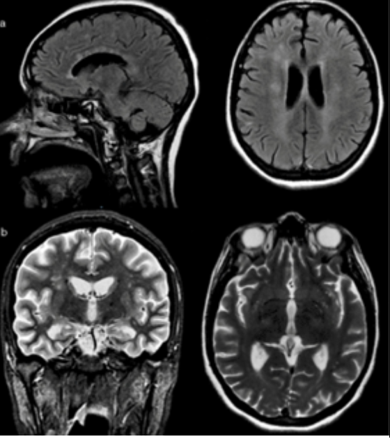
Observe and analyze the image of the brain obtained by MRI and answer the questions:

Analyze the MRI image with the diagram and what you have learned in class, trying to identify and compare its parts. To do this you can be guided by questions 2-4:
2. We see four images of a skull, identify which one is taken in profile, which one from the top, which one from the back and which one from the bottom of the skull.
3. Identify in the a-izq image the cerebrum, cerebellum and brainstem.
4. Say which structures we observe in light color at the end of the image b-right.
5. What is the relationship between computer science, the field in which Ruzena Bajcsy is a doctor, and this diagnostic technique?
6. When we have an MRI scan we cannot wear earrings, piercings, or other metallic accessories. Why do you think this is?
Observacions i context
Ruzena Bajcsy holds a PhD in Electrical Engineering and Computer Science, relevant researcher in Robotics, Artificial Intelligence and Computer Vision. We can find her predecessors in the field of computer science and engineering as Ada Lovelace (1815-1857) mathematician and writer, considered the first computer programmer; Mary Waton (1827- c.1900 ) engineer and pioneer inventor in the fight for the environment, air pollution and noise pollution, who invented different systems to alleviate pollution in large cities; Mary Anderson (1866-1953) inventor of the windshield wiper and many other inventions such as the washing machine, flares or central heating.
Ruzena Bacjsy is a contemporary of Valentina Vladímirovna Tereshkova, Russian engineer who was the first civilian to fly into space, and Rita Colwell, oceanography and bacteriology researcher. Also belonging to her generation are Tu Youyou Chinese scientist, known for discovering artemisinin (also known as dihydroartemisinin), used to treat malaria who in 2015 won the Nobel Prize in medicine and Josefina Castellví oceanographer, the first Spaniard to participate in an international expedition to Antarctica in 1984.
She was a PhD professor of Slovakian computational scientist and professor, Jana Košecká researcher who focuses on 'seeing' systems involved in autonomous tasks, human-computer interaction and the acquisition of static and dynamic models of environments by means of visual sensors.
Descripció
-Activity of short questions and image analysis on skull and brain anatomy.
-The objective of the practice is, based on the research of Ruzena Bajcsy, to work on the interpretation and treatment of images in the clinical setting, specifically in the nervous system.
Observations:
-This activity base could be used for all types of interpretation of CT and/or MRI images, although here we have worked in the field of the nervous system, it can be applied to other systems and devices, such as the locomotor system.
-Although developed for the 3rd year of ESO, this activity could also be applied to the subject of Applied Anatomy of the 1st year of Bachillerato, or to any higher level subject related to the human body.